Liver disease

Conditions

Overview

The liver
The liver

The liver

The liver

The liver is the largest organ inside the body. It's about the size of a football. It sits mainly in the upper right part of the stomach area, above the stomach.

The liver is an organ that sits just under the rib cage on the right side of the abdomen. It can weigh up to 4 pounds (1.8 kilograms). The liver is needed to help digest food, rid the body of waste products and make substances, called clotting factors, that keep the blood flowing well, among other tasks.

Liver disease can be passed through families, called inherited. Anything that damages the liver also can cause liver problems, including viruses, alcohol use and obesity.

Over time, conditions that damage the liver can lead to scarring, called cirrhosis. Cirrhosis can lead to liver failure, a life-threatening condition. But early treatment may give the liver time to heal.

Symptoms

Liver problems showing typical and diseased livers
Liver problems

Liver problems

Liver problems showing typical and diseased livers

Liver problems that can occur include fatty liver disease and cirrhosis. The liver and its cells, as seen through a microscope, change greatly when a liver becomes fatty or cirrhotic.

Liver disease doesn't always cause symptoms that can be seen or felt. If there are symptoms of liver disease, they may include:

  • Yellowing of the skin and the whites of the eyes, called jaundice. Yellowing of the skin might be harder to see on Black or brown skin.
  • Belly pain and swelling.
  • Swelling in the legs and ankles.
  • Itchy skin.
  • Dark urine.
  • Pale stool.
  • Constant tiredness.
  • Nausea or vomiting.
  • Loss of appetite.
  • Bruising easily.

When to see a doctor

Make an appointment with your healthcare professional if you have any lasting symptoms that worry you. Seek medical help right away if you have belly pain that is so bad that you can't stay still.

Causes

Liver disease has many causes.

Infection

Parasites and viruses can infect the liver, causing swelling and irritation, called inflammation. Inflammation keeps the liver from working as it should. The viruses that cause liver damage can be spread through blood or semen, bad food or water, or close contact with a person who is infected.

The most common types of liver infection are hepatitis viruses, including:

  • Hepatitis A.
  • Hepatitis B.
  • Hepatitis C.

Immune system condition

Diseases in which the immune system attacks certain parts of the body are called autoimmune diseases. Autoimmune liver diseases include:

  • Autoimmune hepatitis.
  • Primary biliary cholangitis.
  • Primary sclerosing cholangitis.

Genetics

A changed gene from one or both parents can cause substances to build up in the liver. This can cause liver damage. Genetic liver diseases include:

  • Hemochromatosis.
  • Wilson's disease.
  • Alpha-1 antitrypsin deficiency.

Cancer and other growths

Examples include:

  • Liver cancer.
  • Bile duct cancer.
  • Liver adenoma.

Other

Other common causes of liver disease include:

  • Long-term alcohol use.
  • Fat that builds up in the liver, called metabolic dysfunction-associated steatotic liver disease, formerly nonalcoholic fatty liver disease.
  • Certain prescription or other medicines.
  • Certain herbal mixes.
  • Being in contact often with toxic chemicals.

Risk factors

Factors that can increase the risk of liver disease include:

  • Ongoing moderate or heavy alcohol use.
  • Obesity.
  • Type 2 diabetes.
  • Tattoos or body piercings.
  • Shared needles to inject drugs.
  • Blood transfusion before 1992.
  • Contact with other people's blood and body fluids.
  • Sex without protection.
  • Contact with chemicals or toxins.
  • Family history of liver disease.

Complications

Complications of liver disease depend on the cause of the liver problems. Without treatment, liver disease may progress to liver failure. Liver failure can be fatal.

Prevention

To prevent liver disease:

  • If you choose to drink alcohol, do so in moderation. For healthy adults, that means up to one drink a day for women and up to two drinks a day for men.
  • Avoid risky behavior. Use a condom during sex. If you get tattoos or body piercings, pick a shop that's clean and safe. Seek help if you shoot illicit drugs. Don't share needles to shoot drugs.
  • Get vaccinated. If you're at increased risk of getting hepatitis, talk with your healthcare professional about getting the hepatitis A and hepatitis B vaccines. This also is true if you've been infected with any form of the hepatitis virus.
  • Be careful when taking medicines. Take prescription and other medicines only when needed. Take only as much as directed. Don't mix medicines and alcohol. Talk with your healthcare provider before mixing herbal supplements or prescription or other medicines.
  • Stay away from other people's blood and body fluids. Hepatitis viruses can be spread by accidental needle sticks or poor cleanup of blood or body fluids.
  • Keep your food safe. Wash your hands well before eating or making foods. If traveling in a resource-poor country, use bottled water to drink, wash your hands and brush your teeth.
  • Take care with aerosol sprays. Make sure to use these products in an open area. Wear a mask when spraying insecticides, fungicides, paint and other toxic chemicals. Always follow the maker's instructions.
  • Protect your skin. When using insecticides and other toxic chemicals, wear gloves, long sleeves, a hat and a mask so that chemicals don't get on your skin.
  • Maintain a healthy weight. Obesity can cause nonalcoholic fatty liver disease, now called metabolic-associated steatotic liver disease.

Diagnosis

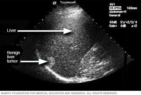
Ultrasound image of a liver tumor
Ultrasound of liver tumor

Ultrasound of liver tumor

Ultrasound image of a liver tumor

An ultrasound uses sound waves to create an image. This ultrasound shows a noncancerous liver tumor.

Liver biopsy
Liver biopsy

Liver biopsy

Liver biopsy

A liver biopsy is a procedure to remove a small sample of liver tissue for laboratory testing. A liver biopsy is commonly performed by inserting a thin needle through the skin and into the liver.

Finding the cause of liver damage and how bad it is help guide treatment. Your healthcare professional starts with a health history and complete physical exam.

Your healthcare professional may then suggest:

  • Blood tests. A group of blood tests called liver function tests can diagnose liver disease. Other blood tests can be done to look for certain liver problems or conditions caused by gene changes.
  • Imaging tests. An ultrasound, CT scan and MRI can show liver damage.
  • Checking a tissue sample. Removing a tissue sample, called a biopsy, from the liver may help diagnose liver disease. A liver biopsy is most often done using a long needle put through the skin to get a tissue sample. The sample is then sent to a lab for testing.

Treatment

Treatment for liver disease depends on the diagnosis. Some liver problems can be treated with lifestyle changes. These might include losing weight or not drinking alcohol. These changes often are part of a medical program that includes watching liver function.

Other liver problems may be treated with medicines or surgery.

Liver disease that causes liver failure may need a liver transplant.

Lifestyle and home remedies

Changing some lifestyle habits often can help improve liver health. If you've been diagnosed with liver disease, your healthcare professional might suggest that you:

  • Drink little alcohol, if any.
  • Eat a healthy diet. Eat fruits, vegetables and whole grains. Don't eat foods with a lot of sugar or fructose.
  • Limit the fat you eat. Eat healthier fats, such as those in fish, olive oil and walnuts. Limit red meat.
  • Try to stay at a healthy weight. Lose weight slowly if you're overweight.

Alternative medicine

No alternative medicine therapies have been proved to treat liver disease. Some studies show possible benefits. But more research is needed.

Some dietary and herbal supplements can harm the liver. More than 1,000 medicines and herbal products have been linked to liver damage. They include:

  • Vitamin A.
  • Ma-huang.
  • Germander.
  • Valerian.
  • Mistletoe.
  • Skullcap.
  • Chaparral.
  • Comfrey.
  • Kava.
  • Pennyroyal oil.

To protect your liver, it's important to talk with your healthcare professional about the risks before you take any alternative medicines.

Preparing for an appointment

You may be sent to a doctor who specializes in the liver, called a hepatologist.

What you can do

When you make the appointment, ask about anything you need to do, such as not eating before your appointment. Ask a relative or friend to go with you, if possible, to help you remember the information you get.

Make a list of:

  • Your symptoms and when they began.
  • All your medicines, vitamins and supplements, including doses.
  • Your key medical information, including other conditions you have and family history of liver disease.
  • Key personal information, including any recent changes or stressors in your life.
  • Questions to ask your healthcare professional.

Questions to ask include:

  • What's the most likely cause of my symptoms?
  • What tests do I need? Do I need to prepare for any of the tests?
  • Are my liver problems likely to go away or to last?
  • What treatments are there?
  • Should I stop taking certain medicines or supplements?
  • Do I need to stop drinking alcohol?
  • I have other health conditions. How can I best manage these conditions together?
  • Are my children at risk of liver disease?

Be sure to ask all the questions you have.

What to expect from your doctor

Your healthcare professional is likely to ask you questions, such as:

  • How bad are your symptoms? Are they constant, or do they come and go?
  • Does anything seem to improve your symptoms, or make them worse?
  • Have you ever had your skin or eyes turn yellow?
  • How much alcohol do you drink a week?
  • Do you have tattoos?
  • Does your job put you in contact with chemicals, blood or body fluids?
  • Have you ever had a blood transfusion?
  • Have you been told that you have had liver problems?