X-ray

Procedures

Overview

An X-ray is a quick, painless test that captures images of the structures inside the body — particularly the bones.

X-ray beams pass through the body. These beams are absorbed in different amounts depending on the density of the material they pass through. Dense materials, such as bone and metal, show up as white on X-rays. The air in the lungs shows up as black. Fat and muscle appear as shades of gray.

For some types of X-ray tests, a contrast medium — such as iodine or barium — is put into the body to get greater detail on the images.

Why it's done

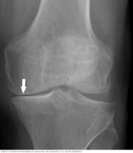
X-ray of knee arthritis
X-ray of knee arthritis

X-ray of knee arthritis

X-ray of knee arthritis

Knee arthritis can affect one side of the joint more than the other. This X-ray image shows how the cushioning cartilage has worn away, allowing bone to touch bone.

Medical image of chest X-rays
Chest X-ray

Chest X-ray

Medical image of chest X-rays

A chest X-ray helps detect problems with the heart and lungs. The chest X-ray on the left is typical. The image on the right shows a mass in the right lung.

X-ray of swallowed jack
X-ray of swallowed jack

X-ray of swallowed jack

X-ray of swallowed jack

X-rays can locate metal objects your child has swallowed, such as this jack.

X-ray technology is used to examine many parts of the body.

Bones and teeth

  • Fractures and infections. In most cases, fractures and infections in bones and teeth show up clearly on X-rays.
  • Arthritis. X-rays of the joints can show evidence of arthritis. X-rays taken over the years can help your healthcare team tell if your arthritis is worsening.
  • Dental decay. Dentists use X-rays to check for cavities in the teeth.
  • Osteoporosis. Special types of X-ray tests can measure bone density.
  • Bone cancer. X-rays can reveal bone tumors.

Chest

  • Lung infections or conditions. Evidence of pneumonia, tuberculosis or lung cancer can show up on chest X-rays.
  • Breast cancer. Mammography is a special type of X-ray test used to examine breast tissue.
  • Enlarged heart. This sign of congestive heart failure shows up clearly on X-rays.
  • Blocked blood vessels. Injecting a contrast material that contains iodine can help highlight sections of the circulatory system so they can be seen easily on X-rays.

Abdomen

  • Digestive tract issues. Barium, a contrast medium delivered in a drink or an enema, can help show problems in the digestive system.
  • Swallowed items. If a child has swallowed something such as a key or a coin, an X-ray can show the location of that object.

Risks

Radiation exposure

Some people worry that X-rays aren't safe. This is because radiation exposure can cause cell changes that may lead to cancer. The amount of radiation you're exposed to during an X-ray depends on the tissue or organ being examined. Sensitivity to the radiation depends on your age, with children being more sensitive than adults.

Generally, however, radiation exposure from an X-ray is low, and the benefits from these tests far outweigh the risks.

However, if you are pregnant or suspect that you may be pregnant, tell your healthcare team before having an X-ray. Though most diagnostic X-rays pose only small risk to an unborn baby, your care team may decide to use another imaging test, such as ultrasound.

Contrast medium

In some people, the injection of a contrast medium can cause side effects such as:

  • A feeling of warmth or flushing.
  • A metallic taste.
  • Lightheadedness.
  • Nausea.
  • Itching.
  • Hives.

Rarely, severe reactions to a contrast medium occur, including:

  • Very low blood pressure.
  • Difficulty breathing.
  • Swelling of the throat or other parts of the body.

How you prepare

X-ray image of kidney stone
X-ray image of kidney stone

X-ray image of kidney stone

X-ray image of kidney stone

This X-ray using contrast reveals a kidney stone at the junction of the kidney and the tube that connects the kidney to the bladder, called the ureter.

A person having an X-ray exam
X-ray exam

X-ray exam

A person having an X-ray exam

The X-ray tube is focused on the abdomen. X-rays will pass through the body and produce an image on the specialized plate below.

Different types of X-rays require different preparations. Ask your healthcare team to provide you with specific instructions.

What to wear

In general, you undress whatever part of your body needs examination. You may wear a gown during the exam depending on which area is being X-rayed. You also may be asked to remove jewelry, eyeglasses and any metal objects because they can show up on an X-ray.

Contrast material

Before having some types of X-rays, you're given a liquid called contrast medium. Contrast mediums, such as barium and iodine, help outline a specific area of your body on the X-ray image. You may swallow the contrast medium or receive it as an injection or an enema.

What you can expect

During the X-ray

X-rays are performed at medical offices, dentists' offices, emergency rooms and hospitals — wherever an X-ray machine is available. The machine produces a safe level of radiation that passes through the body and records an image on a specialized plate. You can't feel an X-ray.

A technologist positions your body to get the necessary views. Pillows or sandbags may be used to help you hold the position. During the X-ray exposure, you remain still and sometimes hold your breath to avoid moving so that the image doesn't blur.

An X-ray procedure may take just a few minutes for a simple X-ray or longer for more-involved procedures, such as those using a contrast medium.

Your child's X-ray

If a young child is having an X-ray, restraints or other tools may be used to keep the child still. These won't harm the child and they prevent the need for a repeat procedure, which may be necessary if the child moves during the X-ray exposure.

You may be allowed to remain with your child during the test. If you remain in the room during the X-ray exposure, you'll likely be asked to wear a lead apron to shield you from unnecessary X-ray exposure.

After the X-ray

After an X-ray, you generally can resume usual activities. Routine X-rays usually have no side effects. However, if you're given contrast medium before your X-ray, drink plenty of fluids to help rid your body of the contrast. Call your healthcare team if you have pain, swelling or redness at the injection site. Ask your team about other symptoms to watch for.

Results

X-rays are saved digitally on computers and can be viewed on-screen within minutes. A radiologist typically views and interprets the results and sends a report to a member of your healthcare team, who then explains the results to you. In an emergency, your X-ray results can be made available in minutes.